Найти специалиста
Войти
Иить
13 января, 2025
Владимир Дулепов
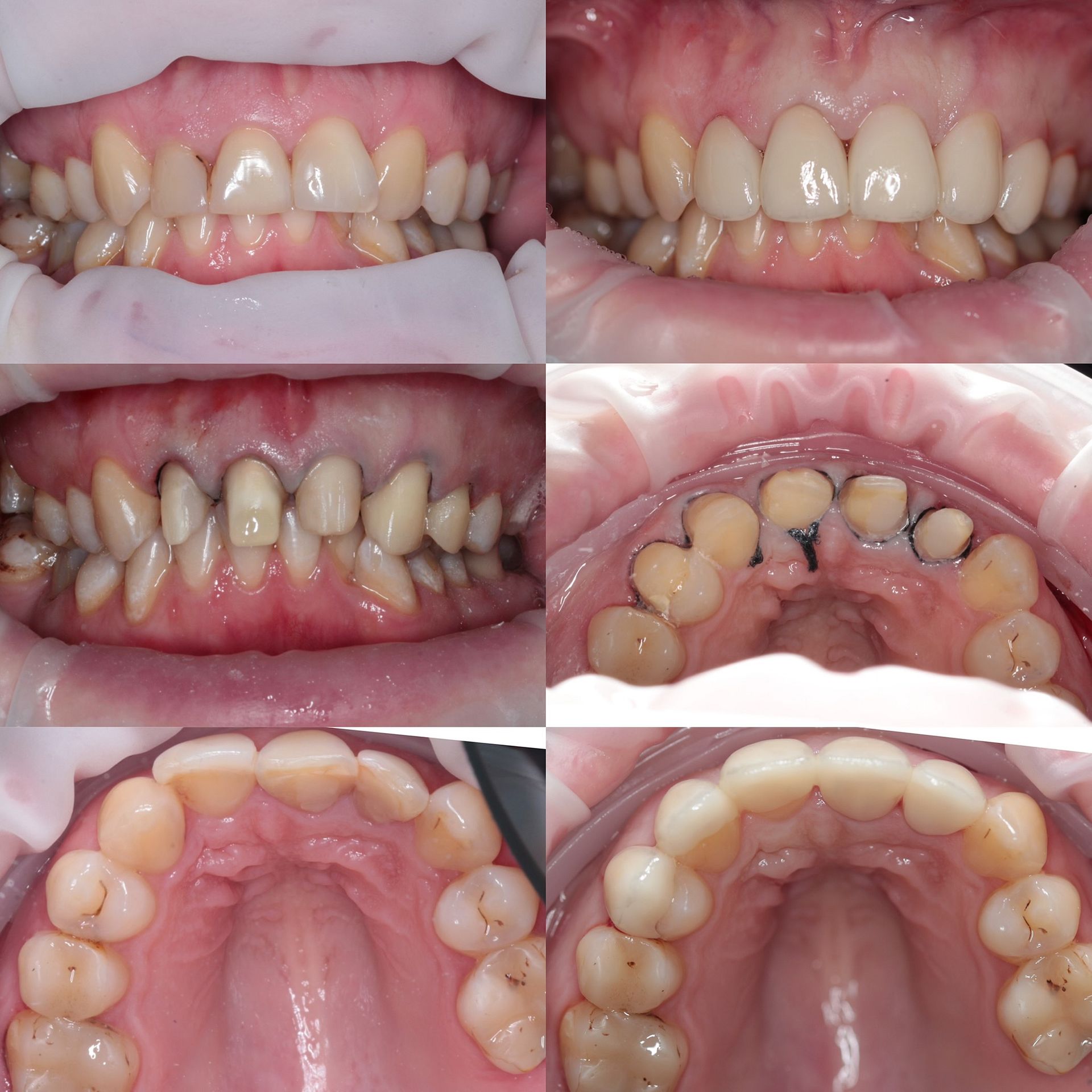
Портфолио
Тиль